3D-CT nose
surgeryFACE
Safe and precise
to be more perfect.

Using 3D-CT equipment prior to surgery enables precise diagnosis of the conditions of the bones to operate on, ensuring better surgery results.
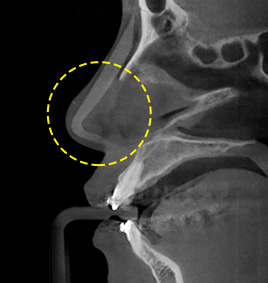
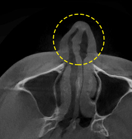
3D-CT nose surgery involves identifying not only the external parts of the nose but also symptoms and causes of nasal bone, crooked nose, nasal septal cartilage, nasal congestion, etc. As three-dimensional analysis using 3D-CT helps establish an adequate surgery plan and reduce damage to blood vessels and nerves, safe and precise operation can be performed.
With 3D-CT nose surgery that takes into account both aesthetic and functional aspects, a refined nose can be made safely.
3D-CT analyzes the nose three-dimensionally.
FACE uses advanced 3D-CT equipment to analyze the overall condition of nasal bone, nasal septal cartilage, skin tissue, asymmetry, etc.,
which cannot be identified by general consultation,
in order to secure safer and more precise nose surgery.
-
CASE 1When thick Gore-Tex pressurizes skin
Gore-Tex is removed to replace it with a silicone implant depending on the skin condition and complemented with autoplasty.
-
CASE 2Aquiline nose curved in the middle
The bone and cartilage are appropriately removed depending on the degree of the curve.
-
CASE 3When silicone and nasal septa are bent
The bent nasal bone and nasal septa are adjusted, and silicone is inserted.
-
CASE 4Stiffened and shortened nose after surgery
The film causing the symptom is completely removed, and the nasal cartilage is lengthened again for proper shaping.
-
CASE 5When the L-shaped implant shows
The degree of exposure and position of the implant are identified accurately, the L-shaped implant is removed to replace it with an I-shaped implant, and then the nasal tip is reshaped with cartilage.
-
CASE 6Calcification of nasal tip
The calcified part that can be missed with the naked eye is checked in advance for removal at the time of surgery.
- Candidates
-
- 1Those who want nose surgery for cosmetic purposes
- 2Those who have crooked nose or nasal septal deviation
- 3Those whose nasal bone was fractured before
- 4Those who value both esthetic and functionality
- 5Those who need nose modification of any sort
- Surgical Information
-
- Surgery time: 1.5-2 hours
- Suture removal: After 5-10 days
- Anesthesia: Sedation anesthesia or partial anesthesia
- Number of visits: 2-3 times
- Inpatient treatment: None
- Recovery period: 7 days (may vary depending on the individual)
Review
4.6 Average rating
-
Shin * Sun / 12 months
Nose SurgeryThe staff were very kind to my inquiries, and the nose surgery I got was very satisfactory as the shape is just what I wanted. Their post-surgery care (sterilization) and other service were very nice, too! I only have good things to say about them!! The facilities are neat, and the staff are kind. I want to visit there again! I even wonder what other surgery I can have ~!
-
Lee * Hee / 3months
Square jaw, nose/eye surgeryThank you for taking care of me every time I visit. I just hope FACE PLASTIC SURGERY CENTER will be more famous in the future.
-
Yu * Jeong / 1month
epicanthoplasty and dual canthoplasty, nose surgeryIt was my first time getting plastic surgery. They carefully told me about the precautions and side effects that I might experience. They even monitored post-surgery swelling and took care of it.






